If you’ve noticed one tooth sitting higher, twisted or sticking out from the rest, you’re not alone. This is commonly called a snaggletooth and it’s one of the most common reasons people start looking into clear aligners.
While it might seem like a small detail, a single misaligned tooth can affect both the appearance of your smile and how your teeth function over time.
So, can clear aligners fix a snaggle tooth? In many cases, yes — and treatment is often simpler than people expect.
So, Can Clear Aligners Fix a Snaggle Tooth?
In many cases, yes. Clear aligners can effectively treat a snaggle tooth by gently guiding it back into alignment over time. The key is understanding what’s causing it and having a treatment plan designed by a Specialist Orthodontist.
For patients across Melbourne and Geelong, clear aligners offer a discreet and effective way to improve both the appearance and function of your smile.
What is a Snaggle Tooth?
A snaggle tooth is a tooth that sits out of alignment with the rest of your smile. It may protrude, rotate, or sit higher or lower than the surrounding teeth.
While “snaggle tooth” isn’t a clinical term, it’s commonly used to describe what orthodontists refer to as a malpositioned tooth.
It’s often most noticeable in the upper front teeth, but can occur anywhere in the mouth and is usually linked to crowding, spacing or bite-related issues.
What Causes a Snaggle Tooth?
There are a few common reasons why a snaggle tooth can develop:
- Crowding
When there isn’t enough space in the jaw, teeth can shift, overlap or grow out of position. - Early or late loss of baby teeth
This can affect how adult teeth come through, leading to misalignment. - Genetics
Your jaw size and tooth positioning are often inherited, which can influence how your teeth align.
If you’re noticing a snaggle tooth, you’re not alone. It’s a common concern we see across our Melbourne and Geelong patients, and it’s something clear aligners can often help address.
Can Clear Aligners Fix a Snaggle Tooth?
Clear aligners work by applying gentle, controlled force to move teeth through the bone into a better position.
For many patients, this makes them an effective option for treating:
- Mild to moderate crowding
- Protruding or rotated teeth
- Spacing issues
- Certain bite concerns
When Aligners Work Best
Clear aligners are especially effective when:
- There is enough space to guide the tooth into position
- The movement required is gradual and controlled
- The treatment is carefully planned by an orthodontist
When You May Need a More Advanced Approach
In some cases, a snaggle tooth may be linked to:
- More complex bite issues
- Significant crowding
- Jaw alignment concerns
This doesn’t mean aligners aren’t an option, but it does mean your treatment needs to be planned carefully by a Specialist Orthodontist to achieve the right result.
Why Orthodontist-Led Treatment Matters
Not all clear aligner treatment is the same.
At Urban Smile, your treatment is designed by Specialist Orthodontists Dr Igor Lavrin and Dr Sarah Lawrence, who have designed over 5,000 smiles using clear aligners alone.
This means your plan considers:
- How your teeth look
- How your bite functions
- Long-term stability
It’s the difference between simply straightening a tooth and creating a healthy, balanced smile.
Snaggle Tooth Treatment in Melbourne with Clear Aligners
Clear aligners offer a modern, flexible way to treat a snaggletooth without brackets or wires.
With clear aligners, you can:
- Straighten discreetly with nearly invisible trays
- Remove aligners for meals and brushing
- Target specific teeth with precise, planned movements
- Preview your results using 3D digital scans before starting
For patients in Melbourne and Geelong, it’s a convenient option that fits into your lifestyle.
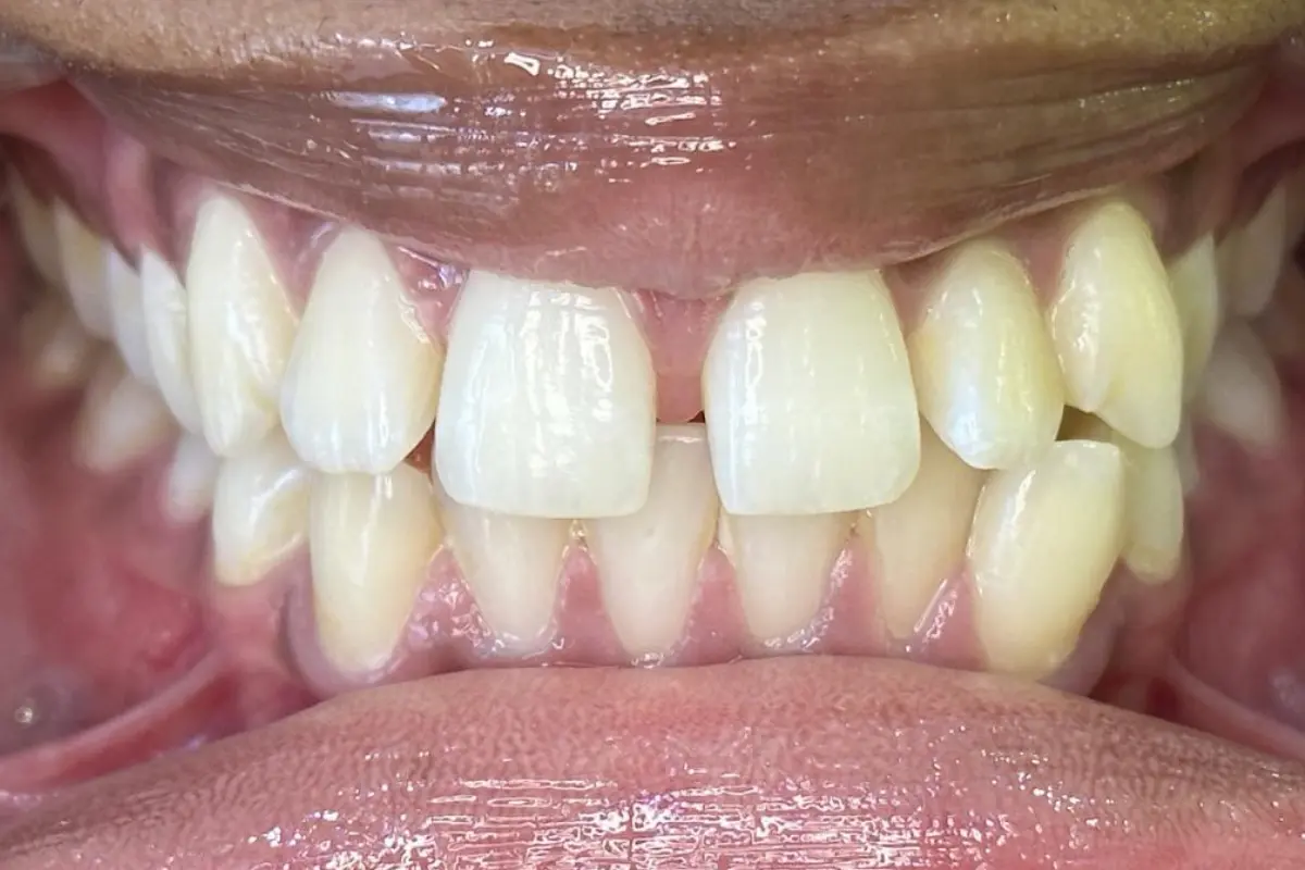
Real Results: Snaggle Tooth Transformation

Many patients tell us they feel more confident in their smile after treatment.
This patient completed Advanced clear aligner treatment with IPR to correct upper spacing, lower crowding and a crossbite. Their treatment was planned by Specialist Orthodontist Dr Igor Lavrin and completed in 16 months.
The result is a healthier, more balanced smile that feels just as good as it looks.
Why Fixing a Snaggle Tooth Matters
A snaggle tooth isn’t just about appearance. It can also impact:
- Oral health
Misaligned teeth are harder to clean, increasing the risk of decay and gum disease - Bite function
Uneven pressure can lead to wear or jaw discomfort - Confidence
Feeling good about your smile can have a real impact day to day
FAQs About Snaggle Teeth and Clear Aligners
Can clear aligners fix just one tooth?
Yes, in many cases aligners can target a single misaligned tooth. However, your orthodontist may recommend treating both arches to ensure your bite stays balanced.
How long does it take to fix a snaggle tooth?
Treatment time varies, but many cases take between 6 to 18 months depending on complexity.
Are clear aligners better than braces for snaggle teeth?
Both can be effective. Clear aligners are a popular choice for adults who want a more discreet option, but suitability depends on your individual case.
Start Your Snaggle Tooth Treatment
If you’ve been searching for how to fix a snaggle tooth, the best place to start is with a personalised assessment.
At Urban Smile, our Specialist Orthodontists create tailored clear aligner treatment plans designed around your smile and your goals.
Book a free consultation at one of our Melbourne or Geelong studios and find out what’s possible for your smile.
